30 de outubro de 2012

Aprovados na 2ª fase da Seleção da Liga de Patologia 2012.2

                 


A Liga de Patologia-UFC parabeniza  o desempenho de todos os candidatos e,com grande alegria,anuncia a lista dos novos membros.


  • Caroline Cavalcante Campelo
  • Ian Freire Castro
  • Lara Ribeiro Taumaturgo
  • River de Alencar Bandeira Coêlho

23 de outubro de 2012

Aprovados na 1ª fase da Seleção da Liga de Patologia 2012.2




                           

Segue abaixo a lista dos candidatos aprovados na primeira fase da seleção da Liga de Patologia, realizada na tarde de hoje (23 de outubro de 2012).

ApAprovados (em Ordem Alfabética):

  • Artur de Sousa Ribeiro
  • Caroline Cavalcante Campelo
  • Francisca Luciana Almeida Colares
  • Ian Freire Castro
  • Lara Ribeiro Taumaturgo
  • River de Alencar Bandeira Coêlho
  • Victor Moreira de Carvalho
  • Wandervânia Gomes Nojoza

Agradecemos a participação e o interesse de todos os candidatos em fazer parte do projeto.

   Segunda Fase

Lembrando aos aprovados que, nesta segunda fase, cada candidato aprovado deverá escolher um tema dentre os cobrados na primeira fase e elaborar um seminário de 10 minutos a ser apresentado aos membros da Liga. Além disso, será realizada uma entrevista após a apresentação do seminário. 

  Mais informações sobre a segunda fase serão enviadas  por e-mail. Em caso de dúvidas, estejam a vontade para entrar em contato com os integrantes da Liga.


1 de outubro de 2012

Pneumonias Adquiridas na Comunidade


INTRODUÇÃO
As infecções do trato respiratório são mais frequentes do que as encontradas em  qualquer outro órgão e são responsáveis pelo maior número de dias de trabalhos  perdidos na população geral. A pneumonia é uma injúria do parênquima pulmonar de  causa infecciosa ou não-infecciosa. Iremos nos deter a falar das causas infecciosas que ocorrem na comunidade.
Constantemente estamos em contato com microorganismos causadores de infecções, porém só adoecemos quando os mecanismo de defesas estiverem deficientes ou quando a resistência geral do indivíduo estiver reduzida, este último pode ser exemplificado em doenças crônicas, imunodeficiências e tratamentos imunossupressores. Os mecanismos de defesa que precisam ser abalados para que ocorra a pneumonia são:
1- Perda ou supressão do reflexo da tosse
2- Dano ao aparato mucociliar
3- Diminuição da função fagocítica ou bactericida dos macrófagos alveolares
4- Congestão pulmonar e edema
5- Acúmulo de secreção
6- Defeitos da imunidade inata ou específica

As pneumonias adquiridas na comunidade podem ser causadas por dois tipos de microorganismos principasis: bactérias e vírus.

PNEUMONIAS BACTERIANAS
As pneumonias bacterianas têm como principais agentes:
1-Streptococcus pneumoniae
2- Haemophillus influenzae
3- Moraxella catarrhalis
4- Staphylocuccus aureus
5- Klebsiella pneumoniae
6- Pseudomonas aeruginosa
7- Legionella pneumophilia

Morfologicamente, a pneumonia bacteriana se apresenta em dois padrões  macroscópicos principais: broncopneumonia e pneumonia lobar.
 ·         Broncopneumonia
Predomina uma consolidação exudativa esparsa do pulmão.

                                                                     Rx de Tórax 
                                                   
                                                                Macroscopia

                                                                      Microscopia
       Epitélio
bronquiolar
parcialmente
destruido (seta)

        Luz repleta de
exsudato
purulento



                                                                 Broncopneumonia
                                                                Pulmão normal

                                                           Predomínio de polimorfonucleados.
                                         
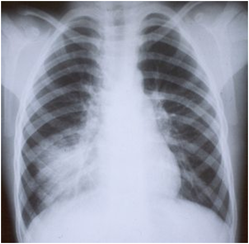
      ·         Pneumonia lobar
      Predomina uma consolidação fibrino-psupurativa de uma grande porção de um lobo ou
     de todo um lobo pulmonar.


Antes do advento da antibioticoterapia, quatro estágios  da resposta inflamatória eram classicamente descritos: congestão, hepatização vermelha, hepatização cinzenta e resolução. O estágio de congestão é caracterizado pelo ingurgitamento vascular, líquido intra-alveolar com poucos neutrofilos, em geral com a presença de numerosas bactérias. O estágio de hepatização vermelha é caracterizado por exsudação de hemácias, neutrófilos e fibrina, preenchendo os espaços alveolares. Macroscopimantente, o pulmão assemelha-se a um fígado pela vermelhidão e consistência compactado, não-aerada. O estágio de hepatização cinzenta caracteriza-se por desintegraçã das hemácias e persistência de um exsudato fibrino-supurativo. No estágio de resolução, o exsudato consolidado sofre digestão enzimática.




                                              Raio-X de pneumonia lobar (lobo superior)


                                               Raio-X de pneumonia lobar (lobo médio)



                                          Hepatização cinzenta









Complicações da pneumonia: formação de abcesso, empiema, organização do exsudato em tecido fibrótico, bacteremia e sepse.

O quadro clínico da pneumonia bacteriana é tipicamente febre alta de início abrupto, calafrios e tosse produtiva com escarro mucopurulento.

PNEUMONIAS ATÍPICAS (Vírus e Micoplasma)
O termo "atípica" se refere a menor quantidade de escarro que na bacteriana, à ausência de achados físicos de consolidação, elevação moderada da contagem de leucócitos e ausência de exsudatos alveolares.
As pneumonias atípicas têm como principais agentes:
1- Vírus influenza tipos A e B
2- Vírus sincicial respiratório
3- Adenovírus
4- Rinovírus
5- Herpes simples
6- Citomegalovírus
7- Mycoplasma pneumoniae

Morfologicamente, a pneumonia atípica se apresenta com padrão macroscópicos do tipo intersticial.


Pneumonia intersticial



Raio-X de pneumonia intersticial






Pneumonia intersticial:
septos interalveolares espessados, celularidade aumentada às custas de infiltrado inflamatório crônico linfomonocitário

Predomínio linfomonocitário


Pneumonia por Citomegalovírus (CMV)


Inclusões intracelulares de CMV



Em fases avançadas, a pneumonia intersticial pode levar a um dano alveolar difuso (membrana hialina).






                                                                        BRUNA SILVA CIARLINI
                                                                             Acadêmica de Medicina-UFC
                                                                              Integrante da Liga de Patologia


 REFERÊNCIAS BIBLIOGRÁFICAS:
             Robbins & Cotran; PATOLOGIA: BASES PATOLÓGICAS DAS DOENÇAS; 8ª Edição,                2010. Ed. Elsevier
                http://anatpat.unicamp.br/
 


Inscrições - Seleção da Liga de Patologia 2014.1